| Noticias al Día |
| Reanuda IMSS Veracruz Sur programa de colocación de marcapasos en el HGZ No. 8 |
| Es el único Hospital General de Zona del IMSS que realiza este procedimiento |
| Por: Agencias 2024-09-23 - 09:27:36 / |
![]() / |
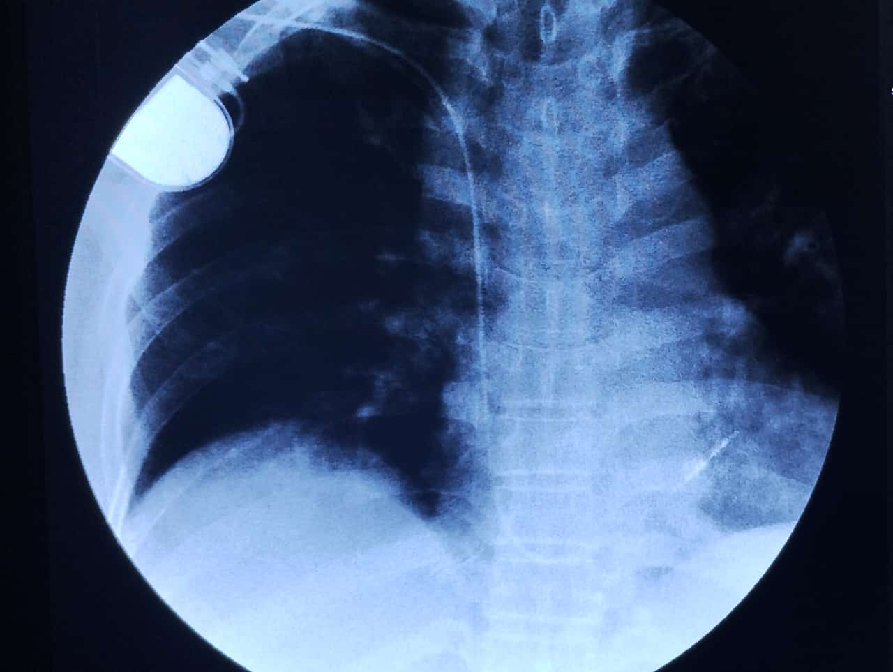
Gracias al apoyo e interés de las autoridades del Instituto Mexicano del Seguro Social (IMSS) en Veracruz Sur, el Hospital General de Zona (HGZ) No. 8, en Córdoba, reanudó el programa de marcapasos definitivos con la rehabilitación de la sala de Fluoroscopia, además de la implementación y adquisición de marcapasos temporales para el servicio de urgencias. El cardiólogo del HGZ No. 8, doctor José Antonio Pérez Muñoz resaltó que a nivel nacional este Hospital General de Zona es el único en realizar este procedimiento, mismo que generalmente se realizan en hospitales de tercer nivel, pero que desde la incorporación de este proyecto ha beneficiado con un total de 277 marcapasos definitivos. Pérez Muñoz refirió que este programa no solo es la colocación de los dispositivos, sino también la vigilancia y seguimiento del mismo, ver que funcione bien, y analizar cómo el uso desgasta la batería para que en el momento necesario se programe de forma oportuna el recambio del generador. Explicó que este procedimiento se realiza en pacientes que debido a padecimientos crónico-degenerativos presentan frecuencias cardiacas bajas, lo que ocasiona poca oxigenación al cerebro y a su vez que el paciente pueda presentar eventos de bajo gasto cerebral, sensación de mareo, lipotimias e incluso desmayos. Añadió que la vida de un marcapasos es de entre 8 y 12 años, pero esto depende de la marca, el modelo y el desgaste que el paciente le dé, ya que existen pacientes que sus trastornos del ritmo son intermitentes y no siempre entra en acción el equipo y hay otros que lo ocupan al 100 por ciento, o más constantemente, por eso se da el seguimiento anual. El médico indicó que el programa de marcapasos inicio en 2016 y aunque durante el 2021 se estuvo en pausa debido a una incapacidad laboral por una hemorragia cerebral que el mismo presentó, al día de hoy el hospital ha colocado 277 marcapasos contribuyendo a la reducción de tiempos de espera. La reactivación de este programa se dio con un recambio de marcapasos del paciente Rafael, de 62 años, beneficiándolo de manera inmediata, evitando con ello el envío a otra ciudad que tendría un costo de traslados, viáticos y del tiempo de espera. "En 2009 empecé con problemas cardiacos, una vez más el doctor Pérez me hizo el cambio y anteriormente también él me lo colocó aquí en Córdoba, ahorrándome todos los inconvenientes de los traslados, viajes y todo lo que conlleva toda esta situación. Hemos sido afortunados mi familia y yo por las atenciones recibidas por parte del IMSS", expresó el señor Rafael.
|
| TAGS: IMSS Veracruz | Colocación | Marcapaso | |